รีวิวเคส (Case Reviews / Testimonials)

รีวิวจากคนไข้จริง

รีวิวจริงจากคนไข้ที่ทำเซรามิกวีเนียร์กับหมอเนย เพราะทุกเคสมีปัญหาและความกังวลไม่เหมือนกัน หมอตั้งใจออกแบบรอยยิ้มให้เหมาะกับแต่ละคน ไม่ใช้แบบสำเร็จรูป

รีวิวแบบ Before – After

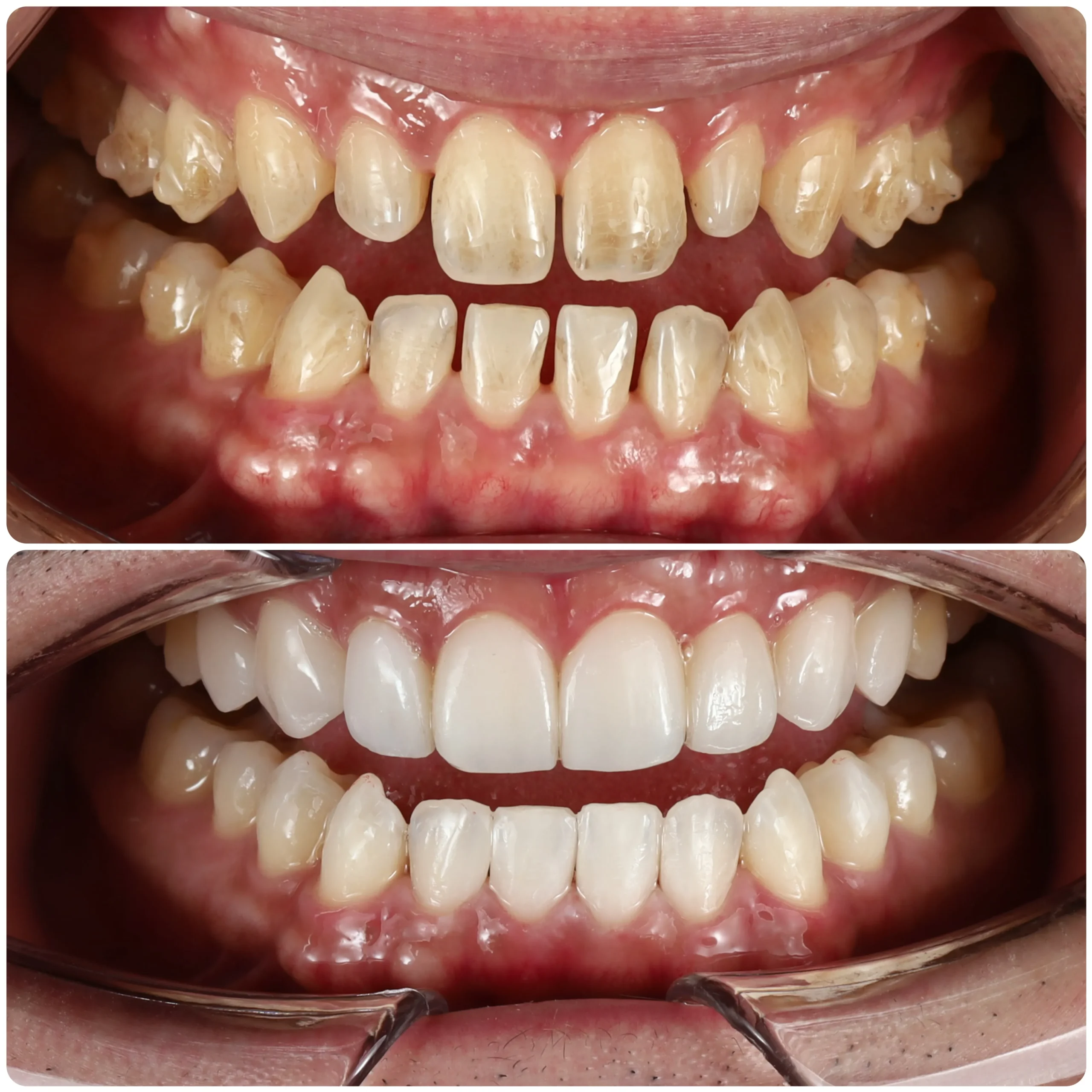
แก้ฟันเหลือง / ฟันคล้ำ

“ก่อนหน้านี้ไม่กล้ายิ้มเลย เพราะฟันเหลืองมาก หลังทำวีเนียร์กับหมอเนย รู้สึกมั่นใจขึ้นมาก สีฟันดูธรรมชาติ ไม่หลอกเลยค่ะ”

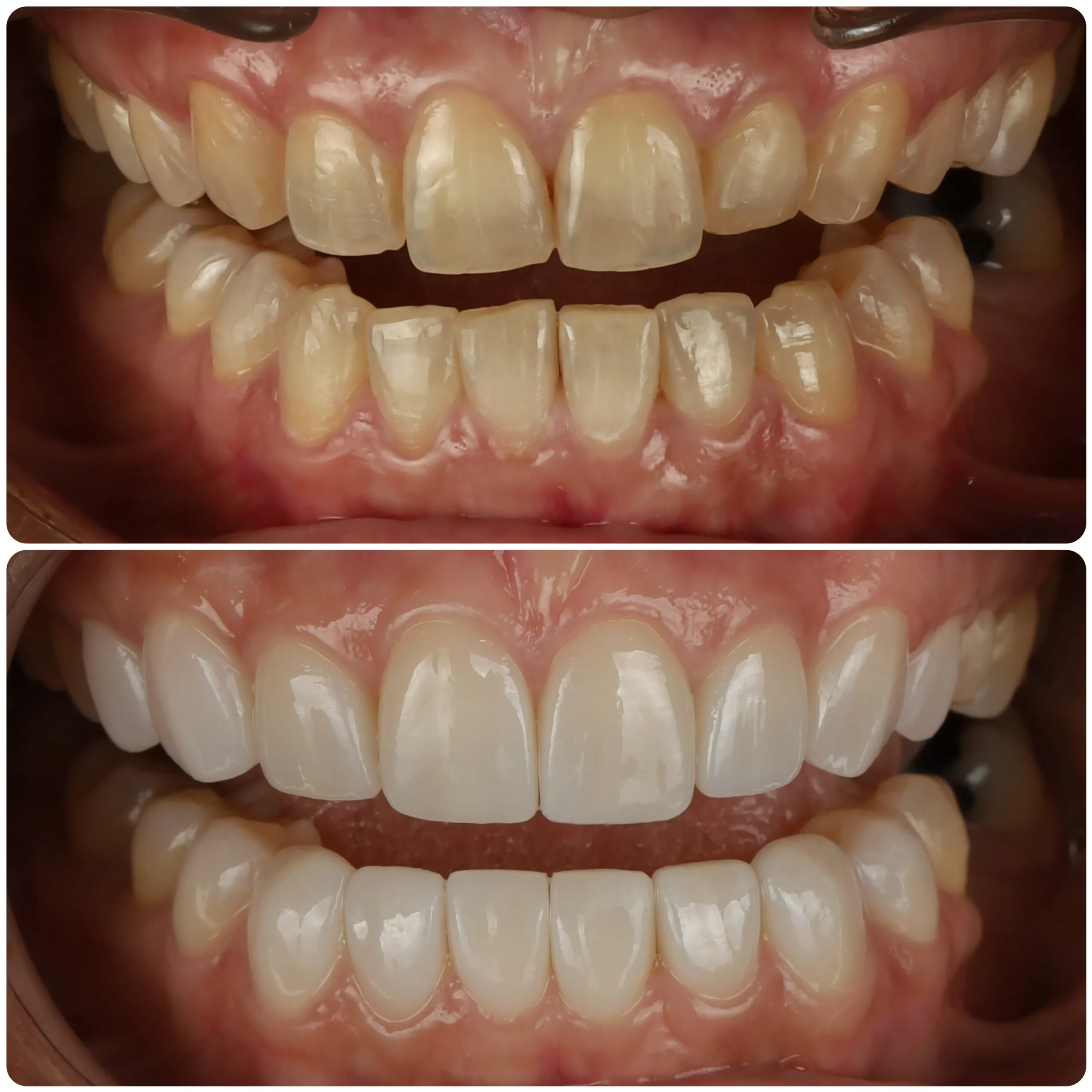
ฟันห่าง / รูปร่างฟันไม่สวย

“ฟันห่างมานาน ไม่คิดว่าจะแก้ได้โดยไม่ต้องจัดฟัน หมอเนยออกแบบให้ฟันดูพอดีมาก ยิ้มแล้วละมุนขึ้นจริง ๆ ค่ะ”

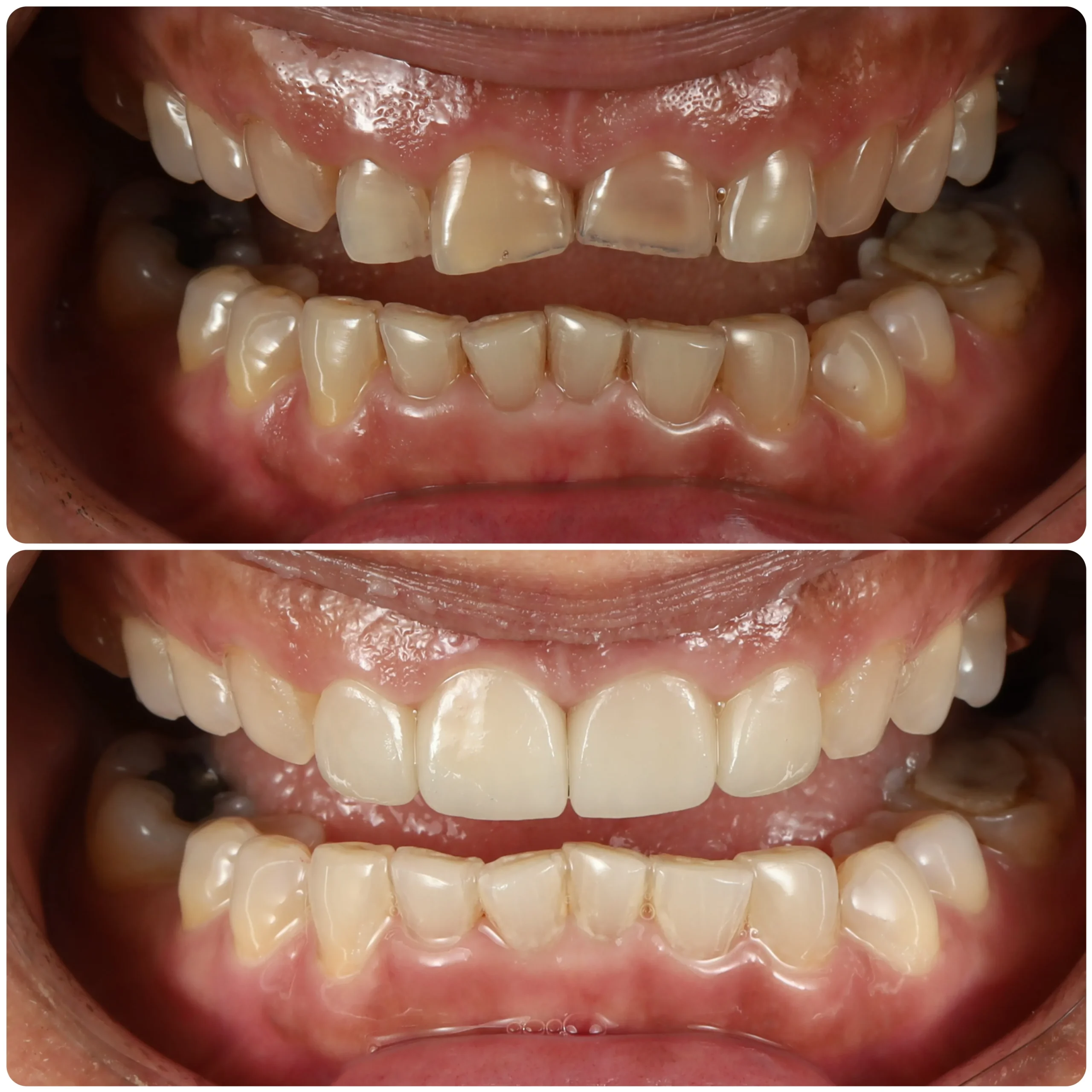
หลังจัดฟันแล้ว ยังยิ้มไม่สวย

“จัดฟันเสร็จแล้วแต่ยังรู้สึกว่ายิ้มไม่สุด พอทำวีเนียร์เพิ่ม รู้สึกว่ารอยยิ้มสมบูรณ์ขึ้นมากค่ะ”

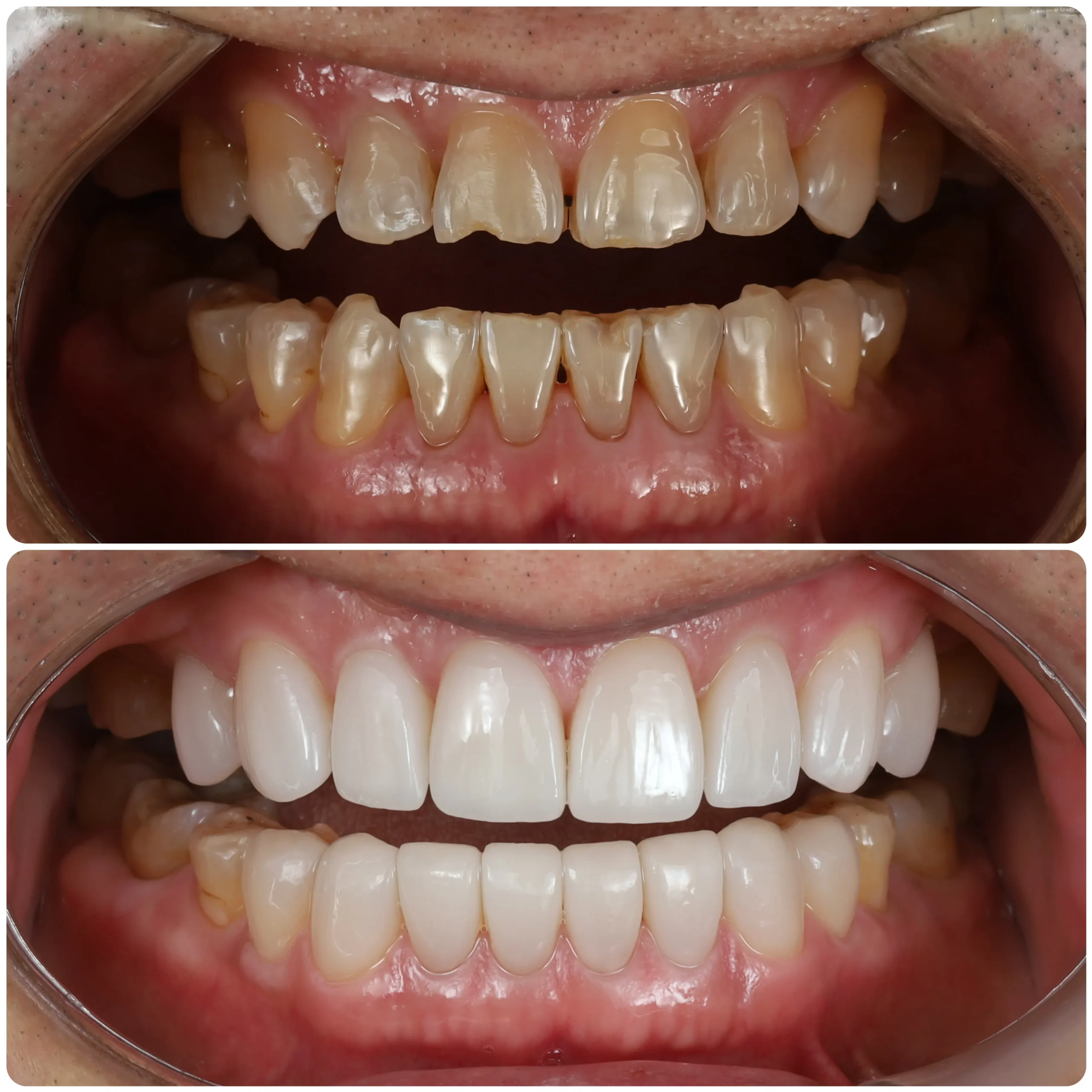
เคสตัวอย่าง : จากคนไม่กล้ายิ้ม → ยิ้มได้อย่างมั่นใจ

เคสตัวอย่าง : จากคนไม่กล้ายิ้ม →
ยิ้มได้อย่างมั่นใจ

“ตอนแรกกลัวว่าวีเนียร์จะดูปลอม หมอเนยอธิบายละเอียดมาก และให้ลองทรงก่อนทำจริง พอทำเสร็จ ฟันดูเป็นธรรมชาติ จนคนรอบตัวทักว่ายิ้มสวยขึ้น แต่ไม่รู้ว่าไปทำอะไรมา”
คนไข้จริง

รีวิวจริงจากผู้ใช้บริการ

Playlist

3 Videos

รีวิวอาจคล้าย แต่รอยยิ้มของแต่ละคนไม่เหมือนกัน

รีวิวอาจคล้าย แต่รอยยิ้ม
ของแต่ละคนไม่เหมือนกัน

หมอเนยแนะนำให้เข้ามาตรวจและประเมิน เพื่อออกแบบรอยยิ้มที่เหมาะกับคุณจริง ๆ ค่ะ

หมอเนยแนะนำให้เข้ามาตรวจและประเมิน
เพื่อออกแบบรอยยิ้มที่เหมาะกับคุณจริงๆค่ะ